Specialisttandvård ortodonti

På ortodontiklinikerna diagnostiserar och behandlar vi bettfel på både barn och vuxna. Alla våra patienter kommer på remiss till oss. Vi behandlar bettfelen med fastsittande och avtagbar apparatur. Hos oss behandlas också de patienter som har avvikelser i käk- och ansiktsskelettet och som kräver tandreglering inför rekonstruktiv kirurgi. Vi har ett nära samarbete med allmäntandvård, privattandvård och övrig specialisttandvård i länet samt ett gott samarbete med Akademiska Sjukhuset i Uppsala när det gäller barn med olika syndrom och läpp-käk-gomdefekter. Våra specialistkliniker finns i Gävle och Hudiksvall.

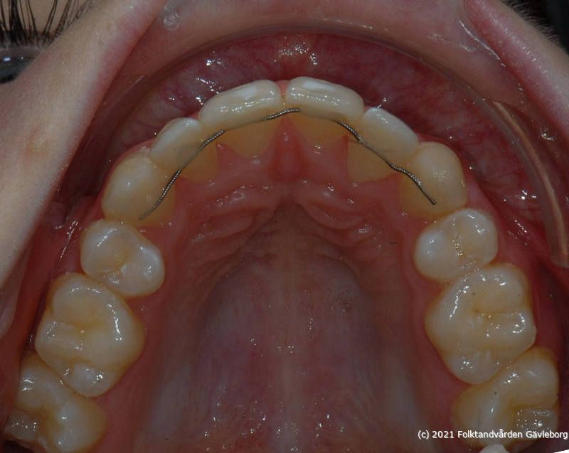
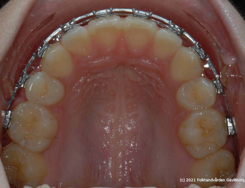
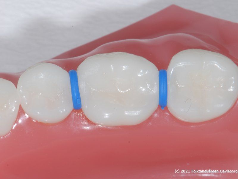
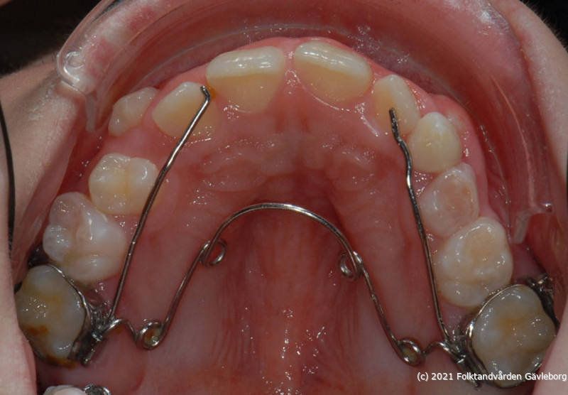
Här nedan hittar du några exempel på vanligt förkommande behandlingar. Hittar du inget som passar det du vill visa, gå in på menyn ovan genom att föra musen över "Information". Navigera sedan till respektive apparatur. Klickar du på rubriken "Visa alla bilder" får du upp samtliga apparaturer som finns här.