Extraorala bilder:
• Bländare (F): 5,6 Avstånd ca 1,7m    
• Enface      
• Enface, leende     
• Profil, 90 graders vinkel, näsan åt höger
• Halvprofil, 45 graders vinkel, leende, blicken mot kameran

  • eo01En face
  • eo02En face, leende
  • eo03Profilfoto
  • eo04Halvprofil, leende

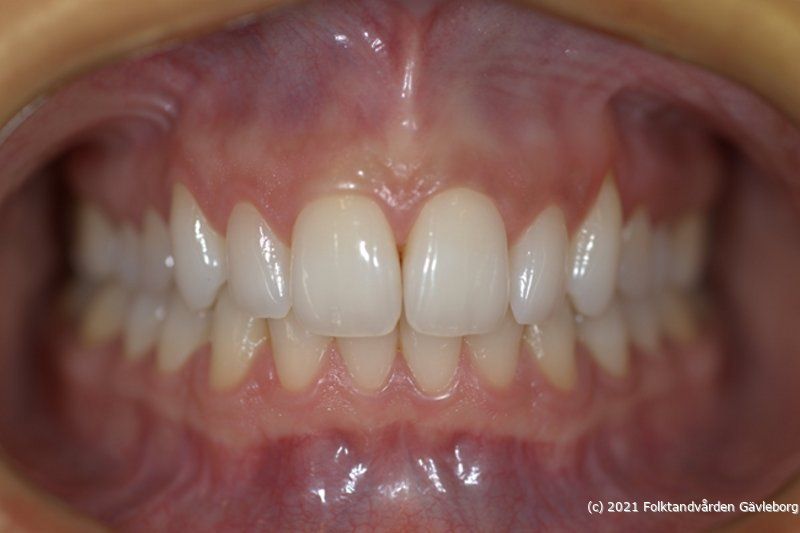
 Intraorala bilder:
• Bländare (F): 32   
• Front i ocklusion (IP), höger och vänster sida. Avstånd ca 0,5 m

  • io01Från höger
  • io02Frontal
  • io03Från vänster
  • io03xHjälpmedel

Hjälpmedel: Dubbeländad munvinkelhållare. Samma inställning mellan front / höger / vänster sida = samma bildskala!


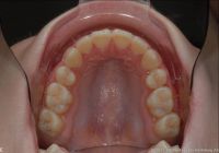
Intraorala bilder med spegel:
• ök    avstånd ca 0,6 m
• uk              -  ”   -

  • io04Överkäken
  • io05Underkäken
  • io06Hjälpmedel
  • io07Blixtexponeringskomp.

Hjälpmedel: Enkeländad munvinkelhållare samt värmd fotospegel. Ökad blixtexponeringskompensation (+1,0) vid spegelbilder.

Samma inställning mellan ök / uk = samma bildskala! Ovanstånde inställningar och avstånd gäller för 105 mm objektiv.


Vanligt förekommande fel

  • fel01Fel bländare!